
You will doubtless remember that the corn cob is an inflorescence composed of Carpellate
Flowers. |

Cross-Section of a Corn Cob: The Corn Kernels are actually Fruits(F). The Cob is the
Receptacle (R). |
 |
 |
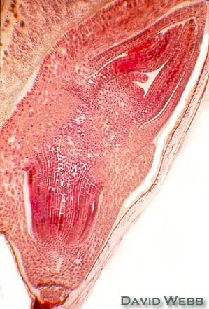
| Diagram of a Cereal Caryopsis: The
Seed is largely composed of a Starch-rich Endosperm. The Embryo is prominent as well. |
 |
 |
| Wheat Caryopsis: The Cells of the
Endosperm are Moribund while the cells of the Aleurone layer are physiologically active.
During germination the Aleurone cells secrete enzymes which digest the Endosperm.
Endosperm metabolites are absorbed by the Embryo. |
 |
 |
| The wheat Embryo & its immediate
Environs: En = Endosperm, S = Scutellum (Cotyledon) CN = Cotyledonary Node, RAM = Root
Apical Meristem, RCap = Root Cap, CR = Coleorhiza, SC/PC = Seed Coat/Pericarp, SAM = Shoot
Apical Meristem, LP = Leaf Primordia, CT = Coleoptile |
 |
 |
| The Endosperm of cereals has two major
regions. The outer part is called the Aleurone Layer. Its cells of have prominent Nuclei. They contain most of the oil
extracted from corn. They also contain a relatively large amount of Protein
in the form of "Aleurone Grains". Cells of the
underlying Endosperm contain many Amyloplasts
which store Starch. The diffuse blue areas in these cells
represent diffuse storage proteins called Glutens (G). The Aleurone is removed
to make White Rice. Consequently, most of the proteins and essential oils are removed. The
same is true for white bread. |
The Coleorhiza which protects the RAM
is the first structure to break out of the Caryopsis. The RAM protrudes and begins to
establish the primary root system. However, Adventitous Roots
also develop from the Embryo Shoot axis, and from parts of the seedling stem. These
adventitous roots become the principal root system for the mature plant.

The Coleoptile which protects
the Leaf Primordia and the SAM breaks through the Caryopsis and remains closed until it
penetrates the soil. The Foliage Leaves emerge through a slit
that develops in the Coleoptile.

Thus type of Germination
is called Hypogeous (Under Ground) because the
Cotyledon (Scutellum.) remains under-ground.

Germination like
that seen with Bean (Phaseolus) is called Epigeous because the Cotyledons are pulled above-ground during Germination |