 |
 |
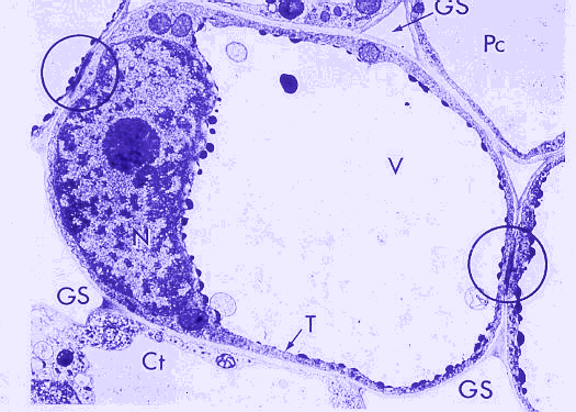
An Endodermal cell
seen with an Electron Microscope. It looks like a Parenchyma cell except that there are no
large Plastids. Note the Circles on the Radial Walls of the right-hand image above!
Ct = Cortical Cell; GS = Gas Space; Pc = Pericycle Cell (The
Pericycle is a layer(s) of parenchyma-like cells which is located between the endodermis
and the Vascular tissues of the Stele);
T = Tonoplast, V=Vacuole |

|
| Same as above but Labeled to show the
location of the Casparian Strip! |

|

|
High Magnification
view of the Casparian Strip (CS) as seen with an Electron
Microscope. Note that the dense material permeates the entire cell wall and middle lamella
of both cells. This is due to the presence of Suberin.
The Plasmalemma is firmly attached to
the CS.
The black globules are in the Vacuole and are touching the
Tonoplast.
Locate the Cytoplasm and the
Plasmalemma! |
 |
| In the Absence
of a Casparian Strip, Solute Molecules would become equally concentrated on each
side of the Endodermis. |
 |
| The Endodermis
can exclude solute molecules if the Plasmalemma is
impermeable to them. Alternatively, it can also accumulate molecules against a concentration gradient with the
expenditure of ATP.
Thus, it helps to create concentration gradients. Concentration gradients
are important for the control of water uptake and transport, and it all starts right here
at your friendly neighborhood Casparian Strip! |