UNIVERSITY OF THE WEST INDIES CAVE HILL CAMPUS  
DEPARTMENT OF BIOLOGICAL & CHEMICAL SCIENCES

BL14A - BIODIVERSITY I : THE PLANT KINGDOM  

PRACTICAL 4 : GYMNOSPERMS    

It is thought that seeds evolved in several different types of progymnosperms resulting in several distinct lines of gymnosperm evolution. The first seed plants emerged some 300 million years ago but they did not really dominate the landscape until some hundred million years later.

We will examine two of the existing gymnosperm groups, the cycads and the conifers.
 

A. THE CYCADS
 

The cycads today are a small family of plants scattered throughout 
the tropics and of no particular economic importance. They reached 
their prime of complexity and diversity something like 150 million 
years ago and since then they have gone into decline. 
Now only a few species remain. 

 

As for other gymnosperms the microsporphylls are grouped into male cones.
The megasporophylls, on the other hand, are another matter.
 

In some cycads such as Cycas circinalis, the Sago 'palm', the megasporophylls are not grouped into cones but are borne as a fringe around the apical meristem.

 
 

The microsporphylls in this species are clustered into cones but all the 
plants in Barbados are female so there will be no cones available for 
you to examine in the lab!! 

The photo at left  of male cones of Cycas circinnalis was taken at  
Fairchild Tropical Gardens in Florida which has one of the best  
Cycad collections in the world. 

 

Draw one of the megasporophylls (i.e. ovule-bearing leaves) and examine the section of developing microsporangia
of Cycas circinnalis, drawing a diagram of this. Examine one of the large leaves and prepare a hand-section of a leaflet.
Stain this with toluidine blue and make a diagram.
 

C.S. Cycas leaflet  C.S. Cycas microsporangia

 

B. CONIFERS

In contrast to the Cycads, the Conifers are still very much in their prime, being represented by a large number of species.
You are provided with fronds of a rather unusual conifer, Araucaria heterophylla, the Norfolk Island Pine.
(Chosen because it is one of the few conifers cultivated in Barbados.)
 

Araucaria heterophylla is native to the Pacific but there are other Araucaria species in places as distant as New Zealand and the Andes of Chile. The evolution of the conifers coincided with the drifting apart of the continents, splitting the original Araucaria population. Speciation ensued. 
 
 

  Section a pinna. Notice how there is almost evidence of a palisade mesophyll as in flowering plants.
 

T.S. Araucaria pinna

 

The pines because of their timber are the most economically important gymnosperms today.
 

Pinus caribaea, the Caribbean pine, 
is widely cultivated throughout the Caribbean, 
but not Barbados. 
 
 

 
 
Have a look at the large cones of this species. The male cone is short-lived and the released pollen lodges in a fissure of
the megasporangium (part of the young female cone).
 
 

Mounts of the pollen (right) are available showing the air bladders astride each pollen grain. 
It takes a further 2 years for the female gametophyte to develop, to produce eggs, for fertilization to occur and the seed to develop. 

  

Examine and draw prepared slides of one stage of a female cone. 

   

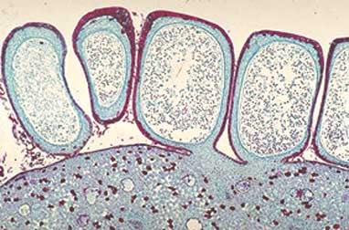
Look at a section of a pine needle, taking note of the sunken stomata, woody hypodermis, as well as the resin ducts. Draw this cross-section. 

  

Draw also a male cone, a 1st year (young) female cone and a 2nd year (immature) female cone.
 

Male pine cones 1st year female pine cones 2nd year immature female pine cones 2nd year mature female pine cones

 

SUMMARY:
 
Draw diagrams of the following:
 
(i) Gross morphology of Cycas megasporophyll
(ii) T.S. Cycas pinna (hand section)
(iii) T.S. Cycas microsporophyll
(iv) T.S. Araucaria pinna (hand section)
(v) Gross morphology of Pinus cone
(vi) Gross morphology of immature 1st year Pinus cone
(vii) Gross morphology of maturing 2nd year Pinus cone
(viii) T.S. Pinus needle/leaf
(ix) W.M. Pinus pollen
(x) L.S. Pinus female cone (map diagram)